Yıllarca kalbinin sağda attığını söylemesine rağmen bir türlü ailesini inandıramayan ve aynı zamanda sürekli mide ağrısı çeken 66 yaşındaki Evin Aslan, şikayetleri için gittiği hastanelerde bir sonuç alamadı.
İç organlarının tamamının ters tarafta olduğu ortaya çıktı
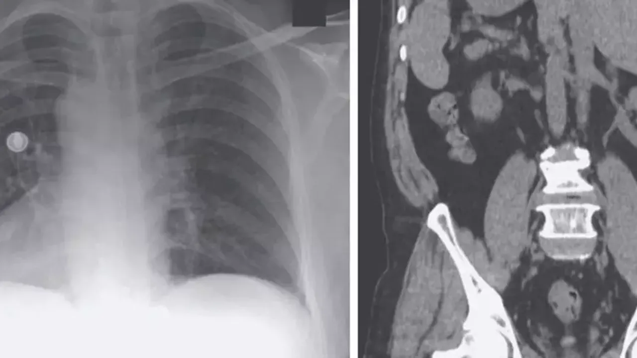
Son olarak Gaziantep Şehir Hastanesi'ne başvuran Evin Aslan'ın hastanede yapılan tetkikler sonucunda iç organlarının tamamının ters tarafta olduğu anlaşıldı. Kalp, mide, dalağı, göğüs ve karın bölgesinin sağında, karaciğer ve safra kesesinin ise solda olduğunu öğrenen Aslan, hayatının şokunu yaşadı. Mide ağrısı rahatsızlığı şikayetiyle şehir hastanesine başvuran Aslan'ı muayene eden Gastroenteroloji Uzmanı Dr. Ahmet Akbay, Aslan'ın kalbinin sağda ve diğer bütün iç organlarının ters tarafa olduğunu tespit etti.
"Çekmiş olduğumuz MR'da karın iç organlarının tam tersi yerleşmiş olduğunu gördük"
İç organlarının tamamının ters tarafta olduğunu öğrenen Aslan, safra kanalındaki taşlar nedeniyle çektiği ağrılardan kurtulmak için ameliyat olmaya karar verdi. Aslan'ın yıllarca çektiği tüm acılar ve ağrılar, Gaziantep Şehir Hastanesi'nde yapılan başarılı ameliyat sonucu son buldu. Meslek hayatında ilk kez böyle bir durum ile karşılaştığını belirten Gastroenteroloji Uzmanı Dr. Ahmet Akbay, "Hastamız karın ağrısı şikayetiyle hastanemize başvurdu. Çekmiş olduğumuz MR'da karın iç organlarının tam tersi yerleşmiş olduğunu gördük. Bu duruma ‘situs inversus totalis' denilmektedir. Sağda olması gereken karaciğer ve safra kesesi sol tarafa ve solda olması gereken kalp ise sağ tarafa yerleşmişti. Bu hastamızda safra kanalında taş olup akut pankreatitleri geçirmekteydi. Hastamızın safra kanalındaki taşlarını ileri endoskopik yöntem olan RCP işlemiyle başarılı bir şekilde yaptık" dedi.
"Dünyada ve Türkiye'de çok nadir görülen bir durum"
Tıp literatüründe çok fazla gözükmeyen bir olayla karşılaştıklarını belirten Akbay, "Bu durum dünyada ve Türkiye'de çok nadir görülen bir durumdur. Hem organların ters tarafta olması aynı zamanda safra kanalında taş ve pankreatitleri geçirmesi çok nadir görülen bir durumdur. Dolayısıyla ileri endoskopik yöntem olan RCP işlemi içinde hastanın tam ters pozisyonda, odanın dizaynını ona göre ayarladık, işlem oldukça zor olmasına rağmen başarılı bir şekilde işlemimizi yaptık, hastamız sağlığına kavuştu" şeklinde konuştu.
"Daha önce bu rahatsızlığı bilmiyordum"
Mide ağrısı şikayetiyle hastaneye başvurduğunu ve iç organlarının ters tarafta olduğunu öğrenince çok şaşırdığını belirten Evin Aslan ise "Çok şükür şimdi iyiyim ve rahatım. Daha önce bu rahatsızlığı bilmiyordum. Ciddi bir ağrı yoktu. Taşlar büyüyünce daha ağrım attı. Çok şükür sağlığına kavuştum Süreç biraz zor geçti. Hocama ve hastane yetkililerine teşekkür ederim" diye konuştu.




